לתאום תור במרפאה כל יום בין 8:00-22:00: 0732139496 או למייל: shirli@shidurit.com

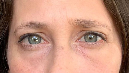
קסנטלזמה - שומני עור בעפעפים
קסנטלזמה Xanthalasma
קסנטלזמה הינה הצטברות כולסטרול מתחת לעור בעלת מראה טיפוסי עם גוון צהבהב וגבולות ברורים.
הנגע מופיע לרוב בחלק הפנימי של העפעפיים העליונים אך לעיתים גם בעפעפיים תחתונים. גודל הנגעים שונה בין אדם
לאדם ועשוי להיות קטן (1-2 ס''מ) או מפושט יותר.
על אף שקסנטלזמה עשויה להופיע באנשים הסובלים מיתר שומנים בדם, הדבר מתרחש רק ב כ 40% מהמקרים. בשאר המקרים התופעה מתרחשת מסיבות שאינן קשורות ברמת השומנים בדם.
משמעות הקסנטלזמה
מלבד הקשר לשומני הדם, לקסנטלזמה אין כל השלכות רפואיות והסיבה להסרה נובעת בעיקר מהפרעה אסתטית.
איך מסירים קסנטלזמה
ניתן עקרונית לבצע הסרה כירורגית אך ישנה המטפלים ע''י לייזר או פילינג.
מדיווחים בספרות ומנסיוננו ההסרה הכירורגית היא היעילה ביותר מבחינת הצלחת הטיפול ומניעת ההישנות.
בעפעפיים העליונים הפעולה הכירורגית הינה יחסית פשוטה וכוללת מדידה מדויקת ותכנון של דרך התפירה הרצויה ללא השארת צלקת נראית.
במקרים בהם הנגעים מופיעים בעפעפיים תחתונים יש צורך בניתוח הכולל חישוב של תמיכת וחיזוק העפעפים התחתונים למניעת משיכה כלפי מטה והווצרות אקטרופיון.
ההחלמה לרוב קלה ומהירה, אינה כרוכה בכאבים. הוצאת התפרים מתבצעת במרפאה לאחר כשבוע.
האם קסנטלזמה חוזרת?
במקרים בהם קסנטלזמות מופיעות על רקע של יתר כולסטרול, יש לאזן את רמת השומנים בדם, דבר שעושי להועיל בהקטנת הסיכוי להופעת קסנטלזמות בעתיד.
על אף שהנטייה לקסנטלזמות אינה חולפת, לרוב כאשר מבוצעת הסרה טובה הכוללת את דפנות הנגע הנגעים לא יחזרו.
.jpg)
.jpg)
.jpg)
.jpg)
.jpg)

.jpg)
.jpg)
.jpg)
.jpg)
